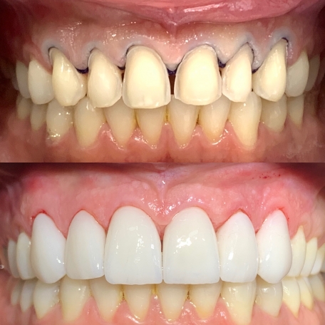
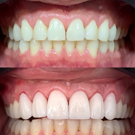
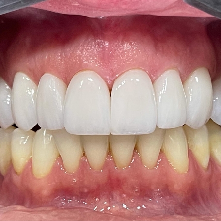
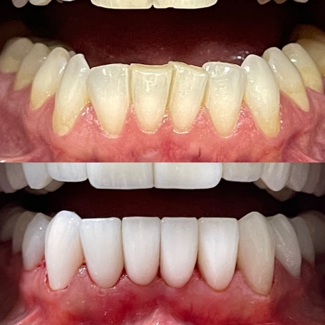
Lentes de contato dentais
Uma lente de contato dental ou dentária é um fino recobrimento de porcelana ou de resina e que funciona como uma cobertura para os dentes, permitindo desta forma “esconder” ou corrigir pequenos defeitos dentários.
Com esse “recobrimento” podemos mudar a forma, a cor, o aspecto, tamanho, anatomia dental e em alguns casos ate o alinhamento. Em nosso planejamento fazemos com que seu novo sorriso fique em perfeita harmonia com seu rosto, pois utilizamos as linhas e proporções faciais para desenvolver seu sorriso de forma assertiva, proporcionando beleza, estética, naturalidade e funcionalidade. Somos referencia nesse tipo de tratamento.

Veja alguns entres os muitos casos de sucesso que já obtemos aqui na Rehabilittare!


































