Reabilitação oral
A reabilitação oral é a reconstrução do sorriso do paciente. Isto é, restaurando tanto a harmonia estética quanto a parte funcional, como também devolvendo a autoestima e a saúde bucal do paciente. Este procedimento pode ser parcial, quando se substitui restaurações e/ou próteses antigas deficientes e instalação de implantes para substituir dentes perdidos. Ou totais, ao trabalhar em todos os dentes, recuperando a altura original da mordida que foi perdida por desgaste dos dentes, melhorando a posição dos maxilares. Além disso, aumenta a distância inter labial, reposicionando a musculatura facial e diminuindo as linhas de expressão, deixando a face com aspecto mais alongado e jovial. O que pode resolver ou amenizar consideravelmente vários problemas como: bruxismo, ronco, apneia, linhas profundas de expressão, dores de cabeça, dores cervicais e nos ombros.
Reabilitação oral na Rehabilittare
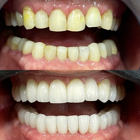
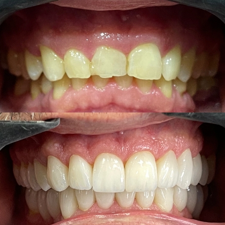
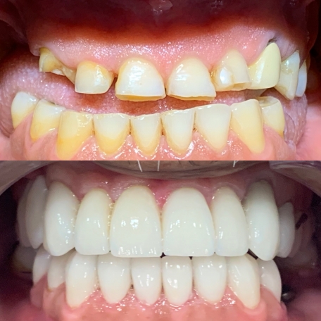
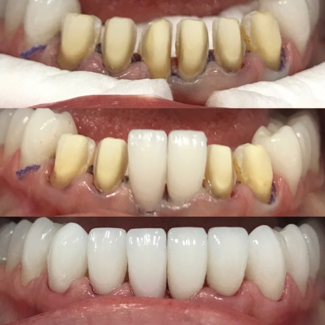
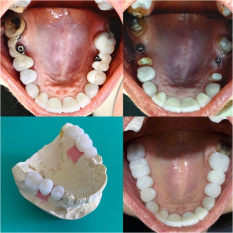
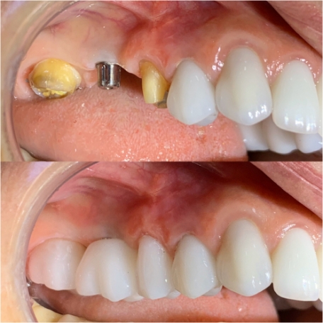
Temos vários casos de sucesso e já recuperamos a saúde e bem-estar de muitos pacientes! Entre em nossa galeria e veja o que uma reabilitação oral pode fazer na vida de uma pessoa! Somos referência no assunto, há mais de 24 anos trabalhando nessa área.
Para ficar por dentro das novidades da Rehabilittare, clique aqui e acompanhe nossa rede social.

Veja alguns entres os muitos casos de sucesso que já obtemos aqui na Rehabilittare!





















