Como a cárie acontece? Entenda o processo.

A cárie dentária é um problema muito comum, mas nem sempre sabemos exatamente como ela surge. Afinal, por que nossos dentes podem começar a apodrecer? E o que podemos fazer para evitá-la? Hoje, vamos explicar de maneira simples como a cárie acontece, como você pode identificar sinais precoces e, claro, a importância de manter uma boa higiene bucal e visitar regularmente o dentista.

O que é a cárie dentária?

A cárie dentária é uma das doenças bucais mais frequentes, e ocorre quando os dentes começam a sofrer danos causados pela ação de bactérias que se alimentam dos restos de alimentos, especialmente os açúcares, que ficam na nossa boca após comermos.

Mas como isso acontece?

O processo da cárie: passo a passo

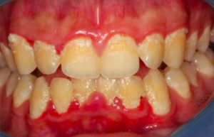
Placa bacteriana
  1. Formação da placa bacteriana:
    Após uma refeição, especialmente se consumimos alimentos ricos em açúcar ou carboidratos, as bactérias da boca se alimentam desses restos e começam a formar uma camada pegajosa chamada placa bacteriana. Essa camada se forma na superfície dos dentes, e é nessa fase que as bactérias começam a produzir ácidos.
  2. Ataque do ácido aos dentes:
    Os ácidos produzidos pelas bactérias começam a atacar o esmalte dos dentes, que é a camada mais externa e protetora, assim a cárie acontece.

  3. Desmineralização e cavitação:
    Se a placa não for removida regularmente, esses ácidos começam a desmineralizar o esmalte, ou seja, a retirar minerais importantes que formam o dente. Com o tempo, essa desmineralização pode gerar pequenas perfurações, chamadas de cavitações.

  4. Danos maiores e complicações:
    Se não for tratada, a cárie acontece e avança, atingindo camadas mais profundas do dente, como a dentina e até mesmo a polpa (onde estão os nervos e vasos sanguíneos). Isso pode causar dor, infecção e até a perda do dente.

Como identificar a cárie precocemente?

Cárie cavitada em fase inicial

Embora a cárie seja algo gradual, é possível identificá-la em seus estágios iniciais, se você estiver atento. Aqui estão alguns sinais para ficar de olho:

  • Mudança na cor do dente: manchas brancas, marrons ou até pretas podem ser indicativos de desmineralização do esmalte.

  • Sensibilidade: se você sentir dor ou desconforto ao comer alimentos doces, quentes ou frios, isso pode ser um sinal de que algo está errado.

  • Dor constante: quando a cárie já está mais avançada, pode causar dor constante, principalmente ao mastigar.

  • Mal hálito: bactérias causadoras da cárie também podem gerar um cheiro desagradável na boca.

Como prevenir a cárie?

A boa notícia é que a cárie pode ser evitada com cuidados simples, mas essenciais:

  1. Escovação regular: Escove os dentes sempre após as refeições, evitando que restos de alimentos se depositem sobre os dentes. Priorize o uso de creme dentais que contenham flúor. A escovação ajuda a remover a placa bacteriana e a evitar a formação de cárie.

  2. Uso do fio dental: Não basta escovar, o fio dental é fundamental para remover os restos de alimentos que ficam entre os dentes, onde a escova não consegue alcançar.

  3. Limitar alimentos açucarados: Reduza o consumo de alimentos e bebidas com alto teor de açúcar, pois são esses os “alimentos preferidos” das bactérias que causam a cárie. Caso prefira consumir doces, escove os dentes logo em seguida.

  4. Visite o dentista regularmente: Consultar um dentista a cada 6 meses ajuda a identificar problemas precocemente e tratar a cárie antes que ela cause danos maiores.

Faça o autoexame e cuide da sua saúde bucal

Além de ir ao dentista, você pode fazer um autoexame em casa. Ao escovar os dentes, verifique se há alguma mudança no formato ou cor dos seus dentes. Se perceber alguma alteração, não hesite em procurar atendimento odontológico.

Lembre-se, a prevenção é sempre o melhor caminho! O tratamento do cárie é simples, se detectada no início, mas, se ignorada, pode evoluir para um problema mais sério e até levar à perda do dente. Cuide da sua saúde bucal com carinho, e seu sorriso será sempre o seu melhor cartão de visitas!

Dica final: Se você não tem o hábito de visitar o dentista regularmente, talvez seja a hora de agendar uma consulta. Entre em contato conosco e tenha mais informações.

Deixe um comentário

O seu endereço de e-mail não será publicado. Campos obrigatórios são marcados com *