As lesões bucais potencialmente malignizáveis são alterações no revestimento da mucosa bucal, que têm o potencial de se transformar em câncer oral se não forem diagnosticadas e tratadas adequadamente. A compreensão dessas lesões pode te ajudar na manutenção de sua saúde e na prevenção de cânceres orais.
Características e causas de lesões bucais potencialmente malignizáveis
As lesões bucais potencialmente malignizáveis podem variar em aparência e localização, mas geralmente apresentam algumas características comuns:
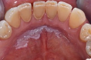
Mancha branca na mucosa bucal não removível à raspagem. Pode ser um sinal de alterações celulares que, se não tratadas, podem se transformar em câncer.

Uma área avermelhada na mucosa bucal, frequentemente associada a um risco mais alto de malignidade em comparação com a manchas brancas

Perda de contorno e elasticidade no lábio inferior, com ou sem feridas. Aspecto de lábio ressecado que persiste por mais de duas semanas. Embora nem todos os casos se transformem em câncer, o risco está presente.
Existem várias causas para lesões malignizáveis, mas frequentemente incluem exposição solar, tabagismo, consumo excessivo de álcool, infecção pelo vírus HPV e deficiências nutricionais.
A importância do diagnóstico precoce
As lesões bucais potencialmente malignizáveis são condições que requerem atenção e vigilância constantes. O diagnóstico tardio de lesões como essas pode tornar o tratamento desafiador, já que em alguns casos pode haver algum grau de alteração celular significativo. O diagnóstico e o tratamento precoce aumentam as chances de cura e facilitam o tratamento, por isso é importante que se faça visitas ao dentista com frequência, pois ele é o profissional responsável pela detecção e tratamento desse tipo de lesão.
Se notar algo diferente em sua boca, procure um profissional capacitado para o caso Cuide de sua saúde oral e não subestime a importância de consultas regulares ao dentista.
Agende sua consulta clicando aqui
