A recessão gengival é um problema comum que afeta muitas pessoas, mas nos últimos tempos, o aumento no número de casos de recessão gengival e exposição de raiz tem chamado atenção de dentistas. A recessão trata-se de de um afastamento ou recuo da gengiva da superfície dos dentes, expondo as raízes dentárias, o que gera diversos problemas como desconforto, sensibilidade, perda de tecido radicular e até comprometimento da estética do sorriso. Neste post, vamos explicar o que é a recessão gengival, suas causas, consequências e as opções de tratamento disponíveis.
O que é recessão gengival?
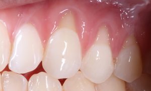
A recessão gengival é o processo em que a gengiva, que normalmente cobre a raiz do dente, se retrai, deixando a raiz do dente exposta e, em casos mais avançados, a raiz do dente pode ficar totalmente visível.
Quando a raiz do dente é exposta, o paciente pode sentir uma maior sensibilidade ao consumir alimentos ou bebidas quentes, frias ou ácidas. Isso se dá pelo fato de que a raiz dentária não é recoberta por esmalte, tecido altamente mineralizado presente exclusivamente na coroa dental que corresponde à parte do dente que fica exposta no meio bucal. Além disso, a retração da gengiva em regiões mais anteriores pode afetar a aparência do sorriso, gerando desconforto estético.
O que causa a recessão gengival?
Existem várias razões pelas quais a recessão gengival pode ocorrer, e algumas das principais incluem:
-
Mordida errada: Quando as forças de mordida não são bem distribuídas entre os dentes, algumas regiões podem estar sofrendo sobrecarga das forças mastigatórias, propiciando a retração gengival.
-
Doenças periodontais: A gengivite e a periodontite (inflamação da gengiva e das estruturas de suporte do dente) são causas comuns de recessão. Elas provocam o enfraquecimento das gengivas, permitindo que as raízes fiquem expostas.
-
Fatores genéticos: Algumas pessoas têm uma predisposição genética para gengivas mais finas ou para o desenvolvimento de recessão gengival.
-
Envelhecimento: Com o tempo, é normal que algumas pessoas experimentem um leve recuo gengival devido ao envelhecimento.
-
Bruxismo (ranger de dentes): O hábito de ranger ou apertar os dentes pode exercer uma pressão excessiva sobre as gengivas e os dentes, acelerando a recessão.
-
Alterações hormonais: Mudanças hormonais, como as que ocorrem durante a gravidez, menopausa ou uso de anticoncepcionais, podem tornar as gengivas mais vulneráveis à recessão.
Consequências da recessão gengival e exposição de raiz
A recessão gengival, além de afetar a estética do sorriso, pode trazer uma série de consequências para a saúde bucal:
-
Sensibilidade dentária: A exposição da raiz do dente pode causar uma sensação dolorosa ao comer alimentos quentes, frios ou ácidos.
-
Maior risco de cárie: A raiz exposta é mais suscetível ao desenvolvimento de cáries, pois não tem a proteção do esmalte dental, tornando-a mais vulnerável à ação das bactérias.
-
Perda de dentes: Em casos graves, onde a recessão é muito avançada, pode ocorrer a perda do dente afetado, pois as estruturas de apoio do dente podem ser comprometidas.
-
Estética prejudicada: A recessão gengival pode deixar uma aparência indesejada no sorriso, o que pode afetar a autoestima e a confiança de quem sofre com o problema.
Como tratar a recessão gengival?
Existem várias opções de tratamento para controlar e até corrigir esse problema. O tratamento ideal dependerá da gravidade da recessão e da causa subjacente:
-
Adequação da oclusão: Com o correto diagnóstico e alinhamento dental, as forças mastigatórias ficam melhor distribuídas, evitando que haja sobrecarga.
-
Tratamento das doenças de tecidos de suporte: Se a recessão for causada por doenças periodontais, o tratamento pode envolver a limpeza profunda das raízes dos dentes, conhecida como raspagem e alisamento radicular, para remover a placa e o tártaro que estão causando a inflamação.
-
Enxerto gengival: Para casos mais graves, pode ser necessário realizar um enxerto de gengiva. Nesse procedimento, um pequeno pedaço de tecido gengival é retirado de uma área do céu da boca ou de outra região da gengiva e transplantado para a área recuada. Isso ajuda a cobrir as raízes expostas e a restaurar a saúde e a aparência da gengiva.
-
Plasma rico em plaquetas (PRP): Essa técnica inovadora utiliza o sangue do próprio paciente para estimular a regeneração da gengiva e acelerar o processo de cura.
-
Cirurgia plástica gengival: Em alguns casos, quando a recessão é mais extensa, a cirurgia plástica gengival pode ser recomendada para reposicionar a gengiva e restaurar a estética do sorriso.
-
Acompanhamento e prevenção: Após o tratamento, é importante manter um acompanhamento regular com o dentista para garantir que a recessão gengival não volte a ocorrer. Além disso, continuar com bons hábitos de higiene bucal é essencial para prevenir futuros problemas.
Como prevenir a recessão gengival e exposição de raiz?
Embora algumas causas da recessão gengival não possam ser evitadas, como fatores genéticos ou envelhecimento, é possível tomar medidas para reduzir os riscos de desenvolvimento desse problema:
-
Escove seus dentes com delicadeza e use uma escova de cerdas macias.
-
Visite o dentista regularmente para exames e limpezas profissionais.
-
Trate doenças gengivais o mais cedo possível.
-
Use protetores bucais se você tiver bruxismo, para proteger os dentes e as gengivas durante a noite.
-
Evite fumar, pois o tabagismo pode agravar a recessão gengival.
A recessão gengival é uma condição que pode ter um impacto significativo na saúde bucal e na estética do sorriso. Se você notar que suas gengivas estão recuando ou se está enfrentando sensibilidade dentária, é importante buscar o acompanhamento com um dentista habilitado para tratar o problema. Com diagnóstico precoce e tratamentos adequados, é possível controlar a recessão gengival e prevenir complicações mais sérias.
Agende agora mesmo sua consulta
